CHANGING EQUINE TENDON MANAGEMENT AND REHABILITATION
PART ONE: DIAGNOSING AND MONITORING INJURIES
Dr Henk Offereins, DVM, from equinetendon.com explains:

Dr Offereins using the UTC scanner to evaluate tendon health

The detailed imagery the UTC can provide about soft tissue health and compromise BEFORE it is injured and needs rehabilitation.
“In my opinion this comes down to the limited amount of information we get out of our equine athletes regarding tendon and ligament degeneration and injury. Discomfort, pain, and mild limitations in motion are all early warnings for a human athlete, but are often hard to recognise in horses. To make things worse, a lot of injuries present ‘sub-clinically’ and the athlete (human or equine) is not aware that by pushing through these warning signs they are in fact undermining the tendon’s integrity.
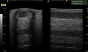
Until recently technology has been disappointing. While ultrasound, which is most commonly suggested and used, has been available from the early 80’s, even the best ultrasounds are limited in the type of information they relay. At the end we are looking at integrity differences represented in grayscale, which is very vague, and only of a limited area of the tendon at one time. Ultrasound is also very operator sensitive – in other words, different technicians/vets will often get different images and therefore differing information. This makes sharing information and carrying out reliable follow-up scans to monitor progress almost impossible to do accurately.
MRI is capable of giving us a lot more information, but in general equine performance management it is hugely expensive and cumbersome, so is uneconomical and unpractical.
So, what information do we actually need in order to make a reliable assessment of the ability and health of a tendon at any given stage of exercise or healing?
Fibre patterns. This is the ratio between different fibre types, and the integrity of the fibres, which will determine the biomechanical qualities of a tendon or ligament.
Ultimately we want to establish the ability of the tendon or ligament to withstand strain. This could also be summarised as “elasticity” – it determines how much we can push on, when to stop, and when we are peaking for competing. While there is not yet a way to measure elasticity, the UTC technology comes very near.”
Ultrasound Tissue Characterisation (UTC) technology can differentiate between 4 different fibre types. This enables us to see how many healthy aligned fibres are present, the degree of scar tissue, the severity of a lesion, and the effect of current exercise level on the tendon, all in one scan. This information is essential for preventive screening of tendons (such as prepurchase examinations), pre-race assessments, and post-injury “staging” of the injury to guide rehabilitation.


Traditional ultrasound on the top, compared to the detailed imaging provided by the UTC
Accidents aside, injuries do not happen by chance. Injuries and the events leading up to injuries follow a pattern. Our technology can detect these patterns before any clinical symptoms, making it possible to completely prevent certain injuries.
Visit equinetendon.com for more information on how we can help your equine athletes.

